最近我在网上看到一个超级有趣的视频,简直让人笑到肚子疼!你知道是什么吗?就是那个“牙有虫”的视频。没错,就是那个把牙齿里的虫子用显微镜放大后,看起来像小怪物一样的视频。下面,我就来给你详细介绍一下这个视频,让你也感受一下它的魅力。

想象你的牙齿里竟然住着一群小虫子,它们在黑暗的牙缝里忙碌着,而你却浑然不觉。这个视频就是通过显微镜,将牙齿里的虫子放大,让我们看到了这些小家伙的真实面目。
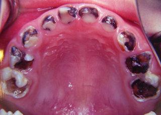
视频中,一位牙医用专业的显微镜,将一颗牙齿的横截面放大了数百倍。屏幕上,那些原本肉眼难以察觉的小虫子,此刻变得清晰可见。它们有的在牙缝里穿梭,有的在牙齿表面爬行,仿佛在进行一场微观世界的虫虫大作战。

在显微镜下,我们可以看到虫虫们的日常生活。它们有的在牙齿表面产卵,有的在牙缝里寻找食物。这些小虫子虽然体积微小,但它们的生活习性却非常丰富。有的虫子喜欢在牙齿表面产卵,孵化出来的幼虫就会钻进牙缝里,吃掉牙齿的有机物质。
视频中的牙医还向我们展示了虫虫们的繁殖过程。原来,这些小虫子是通过产卵来繁殖的。它们在牙齿表面产下卵,卵孵化后变成幼虫,再逐渐长大成为成虫。这个过程就像是一场微观世界的生命轮回。

看到这些小虫子在牙齿里忙碌的场景,你是不是也感到一阵惊悚?别担心,这些虫虫并不是真的要伤害我们。实际上,它们只是口腔中的一种微生物,它们的存在提醒我们要关注牙齿健康。
牙齿健康对于我们的身体健康至关重要。如果牙齿出现问题,不仅会影响我们的咀嚼功能,还可能引发一系列口腔疾病。因此,我们要定期刷牙、使用牙线,保持口腔卫生,预防虫虫们的入侵。
这个“牙有虫”的视频,不仅让我们看到了微观世界的奇妙,还让我们意识到科技的力量。正是有了显微镜这样的科技工具,我们才能如此直观地看到牙齿里的虫虫们。
如今,科技已经渗透到我们生活的方方面面。从手机、电脑到智能家居,科技正在改变我们的生活方式。而这个“牙有虫”的视频,也让我们看到了科技在医学领域的应用。相信在不久的将来,科技还会带给我们更多的惊喜。
这个“牙有虫”的视频不仅让我们感受到了微观世界的奇妙,还提醒我们要关注牙齿健康。让我们一起努力,用科技的力量守护我们的口腔健康,让生活更加美好!
本文由admin于2025-11-30发表在自拍图库,如有疑问,请联系我们。
本文链接:https://zptg-zptg.com/post/523.html